Prosthodontist in Naples, FL
Your New Smile Starts Here
More Customization
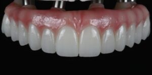
In most dental offices, when you need a dental restoration like a crown or veneer, it is actually made by an outside lab. While we work with incredible labs, we also go a step further by taking the time to customize and refine every restoration we receive using our in-house ceramic oven and porcelain. This extra effort ensures the highest quality aesthetics, fit, and function for the patient. This personalized approach extends across all of our dental services, where attention to detail and quality craftsmanship remain our top priorities.
Meet Your Dental Experts
Our practice is unique in that both of our dentists are highly trained prosthodontists who have exceptional clinical skills and are committed to delivering 5-star customer service.
Dr. Randold Binns
A surgical prosthodontist through the University of Illinois Chicago, Dr. Binns had his own life changed thanks to dentistry, and today, giving hope to his patients by restoring their dental function and beauty is his greatest joy.
Dr. Eugenio Aquino
As a maxillofacial prosthodontist and oral oncologist, Dr. Aquino is able to help patients rebuild their smiles following cancer or severe trauma. With him, people don’t just get back to normal, but achieve a new level of confidence and health.
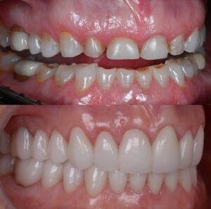
Stunning Transformations
We change lives as often as we change smiles, and we believe our results speak for themselves.
Let Our Patients
Tell Our Story
You Choose. We Serve.
Protect Your Smile
Our preventive services don’t just help patients deal with common dental problems, but proactively stop them from occurring in the first place.
Enhance Your Smile
Whether you want to fix a single problem tooth or achieve a Hollywood look with veneers, we can give you a smile that consistently turns heads.
Rebuild Your Smile
With us, no matter what state your mouth might be in right now, it’s never too late, and there is always hope. We’re experts at handling even the most complicated cases.
Dynamic Navigation Implant Surgery
This technology enables us to place dental implants while being digitally guided using a scan of your mouth, ensuring that your new teeth are not just placed well, but placed perfectly. Between our prosthodontists and X-Navigation, we offer a level of precision you won’t find anywhere else.
Excellence That’s Within Reach
We make it simple to access the care you deserve in a way that makes sense for your smile and budget.
Affordable Monthly Payment Plans Available
Overdenture
Starting at
$99/Month
Max Hybrid
Starting at
$470/Month
Dental Implants
Starting at
$108/Month
Crowns / Veneers
Starting at
$70/Month
Dentures
Starting at
$91/Month
Mand Hybrid
Starting at
$407/Month
New Dental Patient Information in Naples, FL
A Refreshingly Different Dental Visit
We understand that we only get one chance to make a first impression, which is why you’ll find everything you need to know ahead of time about your initial visit to Advanced Prosthodontics & Implant Esthetics. We want you to be able to relax and feel at home from the moment you step through our doors as our team gets to know you and learns about your dental goals. If you have any questions after looking over this helpful information, be sure to give us a call!
Your First Visit
Your first visit is all about you – your comfort, your happiness, and your health.
During your first visit, we will review your dental and medical history forms and take or review X-rays of your teeth and mouth.
Then, your dentist will meet with you to discuss your X-rays, help you create your own individual treatment plan, and answer any questions that you may have.
We understand that you have a busy schedule, so when you’re preparing to visit us, please remember to bring your insurance card, and know that your appointments can last between 45 and 90 minutes.
Conveniently
Located Near You
You’ll find our freshly remodeled dental office at 4413 Outer Dr, right next to Sugden Park. A frequent stop for many patients following their appointments is the Culver’s down the street! If you’re ready to schedule an appointment or would just like to talk to our team here at Advanced Prosthodontics & Implant Esthetics, we would love to hear from you, so give us a call today.